Уважаемые коллеги!
Предлагаем вашему вниманию небольшой клинический случай по немедленной имплантации. В общем, абсолютно ничего особенного. Просто, пришла на прием пациентка, с проблемой у естественного зуба, которой 15 лет назад, в другом квадранте, была проведена немедленная имплантация. Грех было не сделать контрольные фото и рентгеновские снимки.
Как начиналась операция
Операция немедленной имплантации была произведена 27.02.2004 года непосредственно после экстракции зуба 21 из-за невозможности дальнейшего лечения данного зуба (две вертикальные трещины корня).
Вид на корень и трещины за три дня до экстракции и немедленной имплантации.
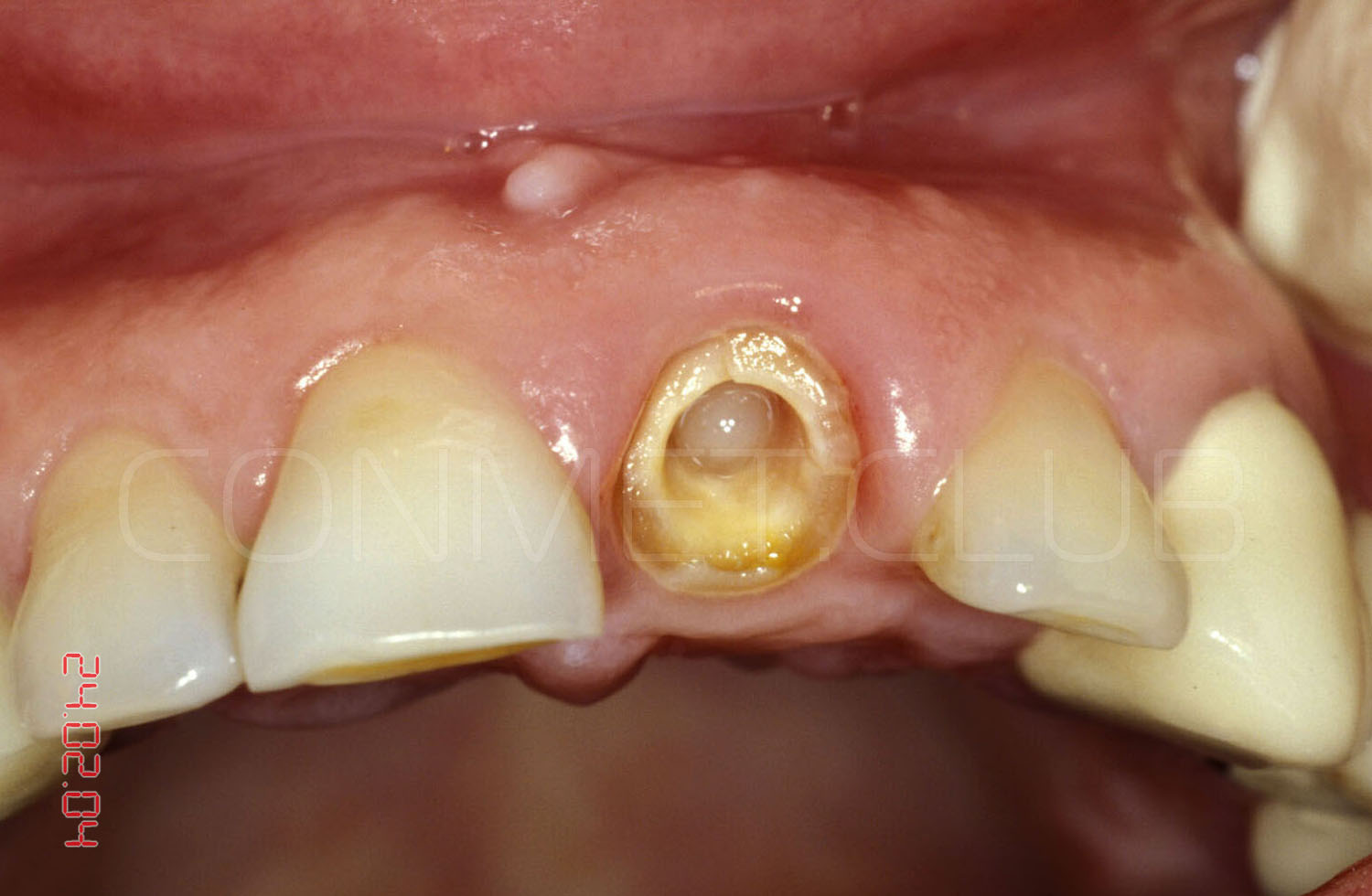
Вид на лунку удаленного зуба. Щипцы при удалении не использовались, только кюретажная ложка СМ 2/4 и прямой элеватор.
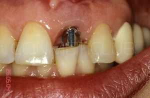
Сразу после экстракции зуба 21 производится установка имплантата КОНМЕТ с полированной трансгингивальной частью высотой более 3 мм. Интерфейс имплантата - просто конус Морзе и ни каких антиротационных шестигранников!
Имплантат установлен и зафиксирован винт-заглушка. Обратите внимание, что даже при столь широком экваторе имплантата не удалось полностью перекрыть диаметр костной альвеолы в направление зуба 11. Швы не накладывались и поверхность имплантата закрывалась мазью Солкосерил Дентал
В этот же день была изготовлена провизорная коронка крепившаяся к соседним зубам на стекловолоконную ленту и композитный цемент.
Через 2 месяца. По режущему краю, соседних резцов, хорошо видна фиксирующая лента.
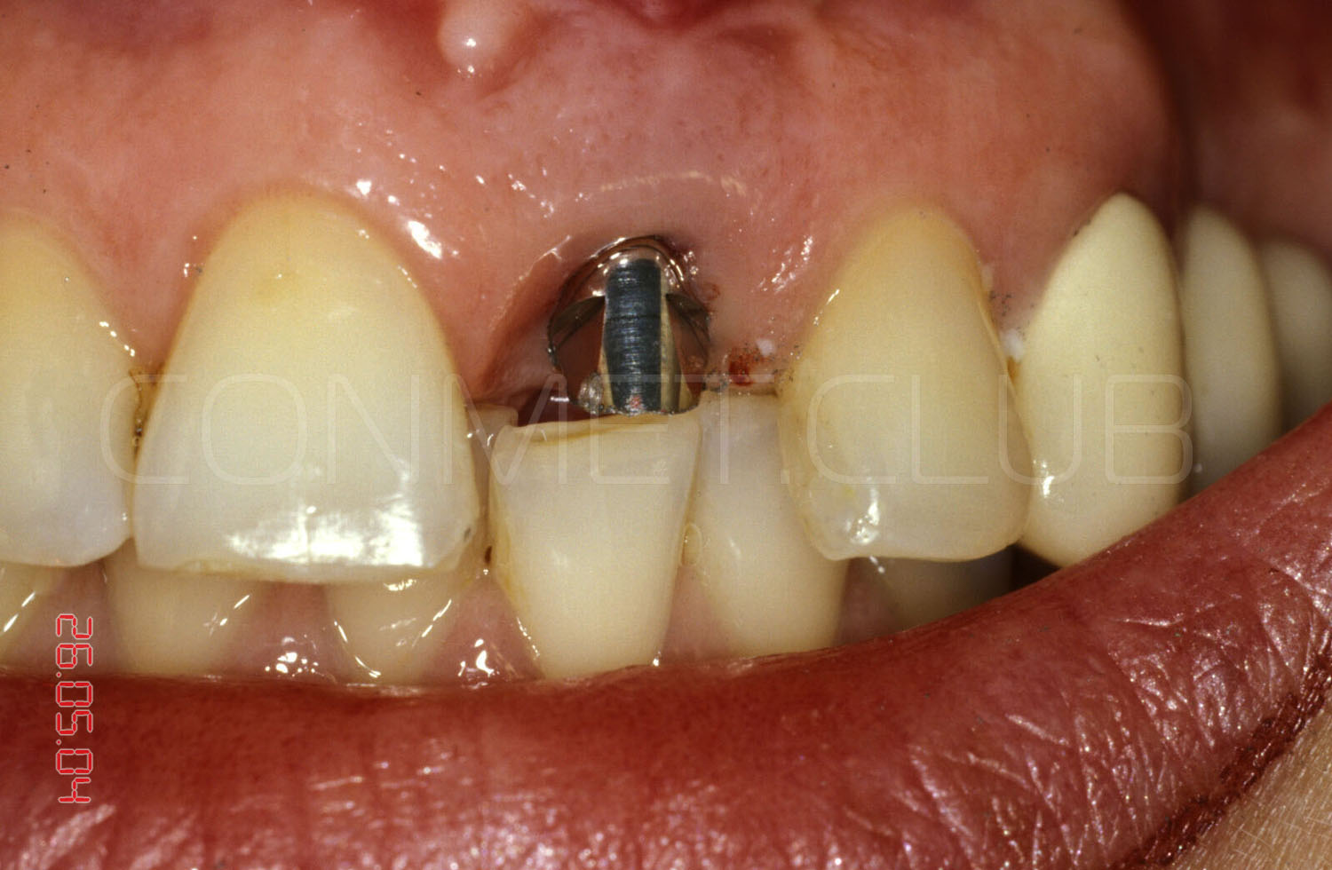
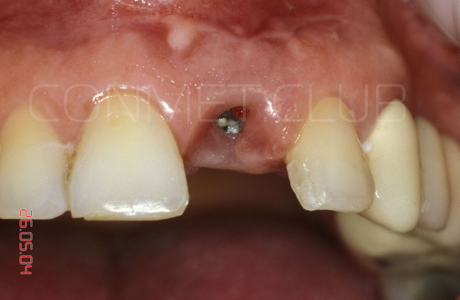
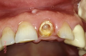
Через 3 месяца временная коронка удалена и начато изготовление стандартной металлокерамической коронки. Вид на имплантат КОНМЕТ сразу после удаления временной коронки.
Из-за глубокого резцового перекрытия пришлось сильно утачивать стандартный, прямой абатмент. Безусловно не самая простая ортопедическая ситуация с сложно прогнозируемым сроком службы.
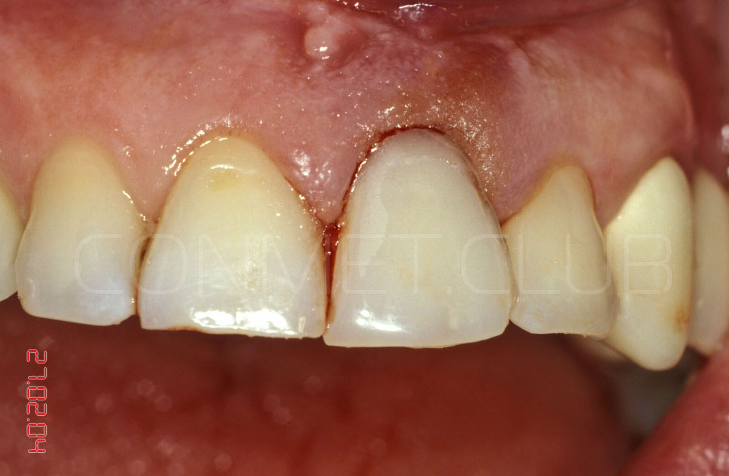
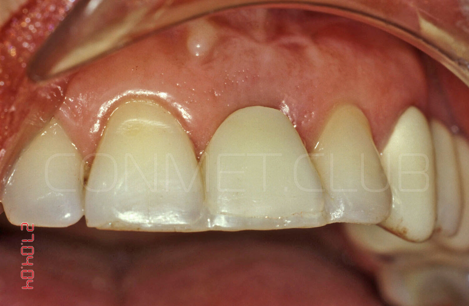
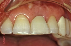
Контрольное фото через 6 недель после окончательного протезирования. Почти идеальная сохранность межзубных сосочков.
По причине крайне малой высоты абатмента, палатинальную поверхность коронки оставили не покрытой керамикой. Толщина металлического колпачка в этом месте 0,3 мм.
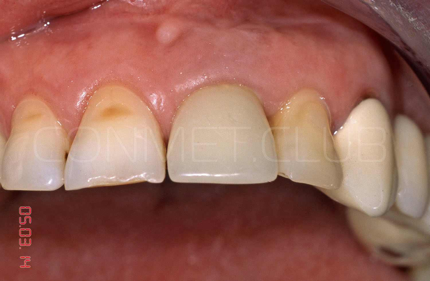
Итоговое фото через 6 недель после окончания протезирования.
Состояние через 10-15 лет
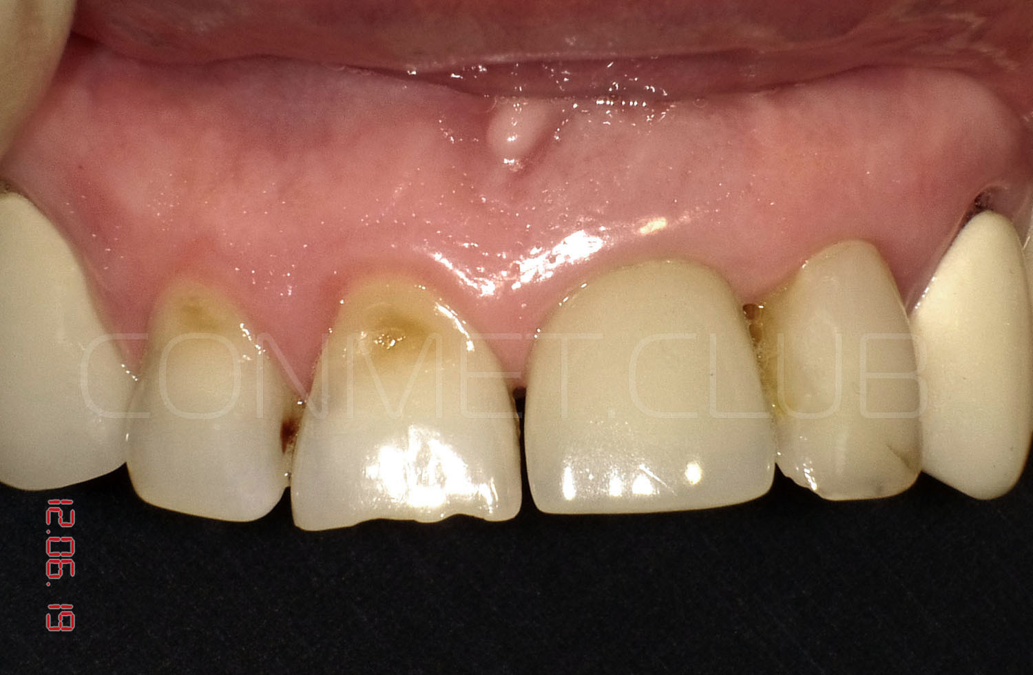
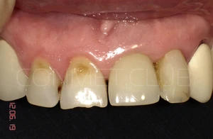
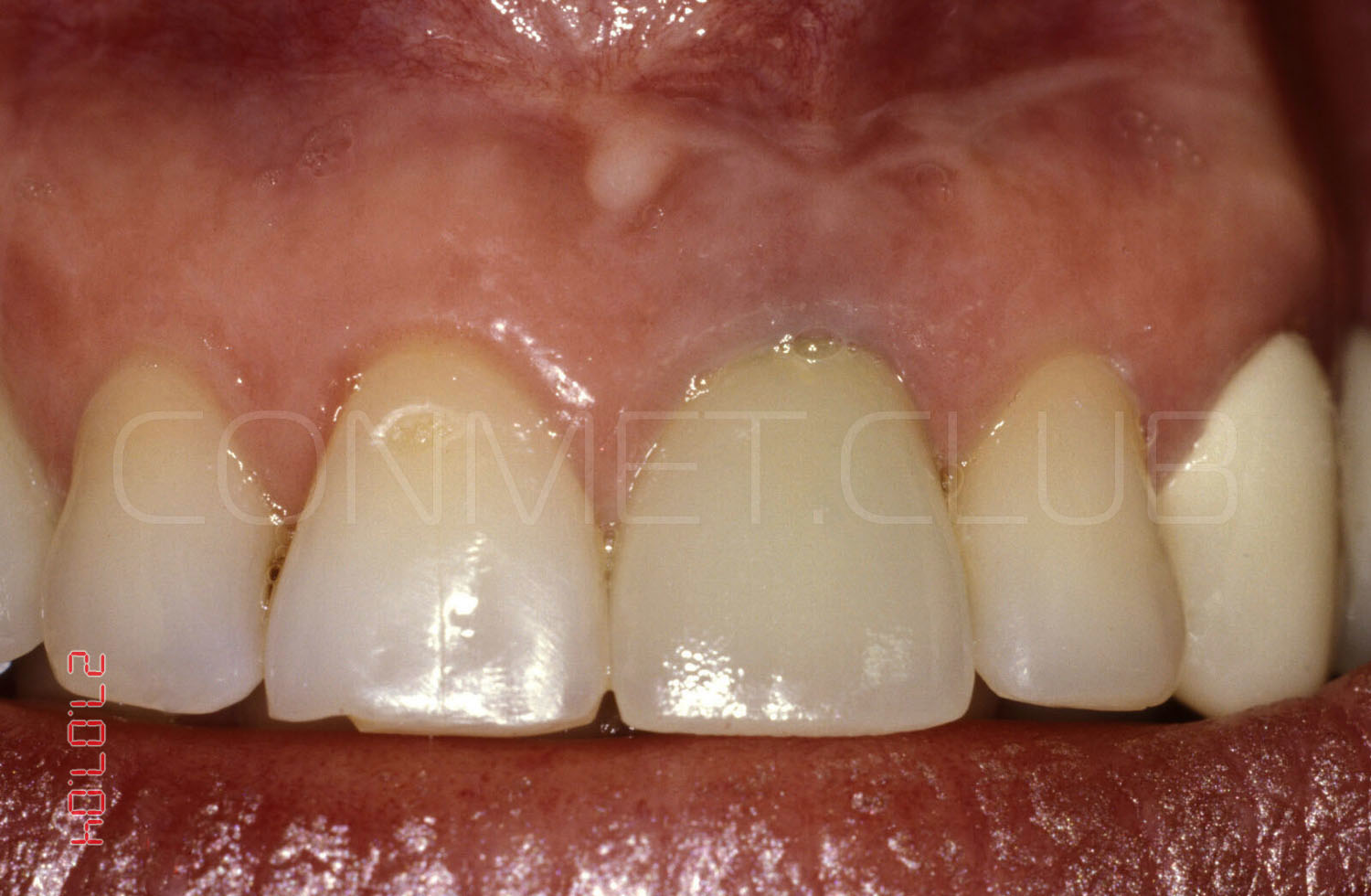
Ситуация в полости рта через 10 лет после операции. Обратите внимание на сохранность межзубных сосочков около имплантата и полное отсутствие рецессии десны на поддесневой, полированной части имплантата.
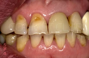
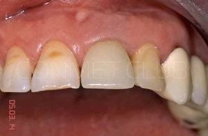
Фото этой же коронки через 15 лет после операции.
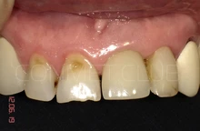
Вид на палатинальную поверхность.
15 лет полноценной функциональной нагрузки.
Контрольная рентгенограмм через 15 лет после операции. Если на рентгенограмме и можно различить небольшую щель между имплантатом и костью на уровне полированной части имплантата, то клинически она полностью отсутствует и не диагносцируется парадонтологическим зондом.
P.S.
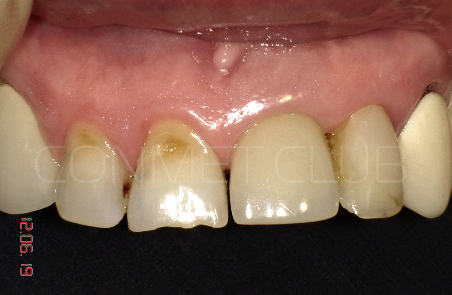
Для людей сомневающихся в правдивости и сроках - предлагаем два снимка из этой серии с оригинальными штампами даты

✓ В сухом остатке имеем:
немедленная имплантация с использованием имплантата КОНМЕТ (полированная трансгингивальная часть, пескоструйная обработка эндооссальной части) с неполной облитерацией лунки удаленного зуба; интерфейс имплантата-только конус Морзе без антиратационных элементов внутри; глубокое резцовое перекрытие. Результат: 15 лет функционирования без единой проблемы с имплантатом и коронкой (ни малейшей ротации и ни единой расцементировки), идеальное, для такой ситуации сохранение межзубных сосочков.
ВЫВОДЫ
За прошедшие годы имплантационная система КОНМЕТ сделала значительное движение вперёд! Сегодня мы имеем новый, но уже проверенный многолетними клиническими наблюдениями, интерфейс (конус Морзе и устойчивый шестигранник), самое передовое покрытие АНАТАЗ, цифровые протоколы протезирования и изготовления индивидуальных абатментов. И если, как мы видим в приведённом случае, «старые» имплантаты КОНМЕТ дают великолепный результат более 15 лет, то так и хочется сказать словами из Советской эпохи: «Мы с оптимизмом смотрим в будущее!»