
Операция имплантации на субпериостальных имплантатах - уже реальность.
НОВОЕ - ЭТО ХОРОШО ЗАБЫТОЕ СТАРОЕ
В настоящее время уже никого не удивишь операцией имплантации зубов, разработаны методики и сформирована школа имплантологии, многие врачи-стоматологи в совершенстве владеют этой технологией, но это относится только к одному виду имплантации, который доминирует на рынке стоматологических услуг, к внутрикостным, винтовым имплантатам. Но в статье пойдет речь о субпериостальных поднадкостничных) имплантатах и месте, которое они занимают в современной имплантологии.
Не скажем, что эта тема совсем новая. Еще в далеком 1989 году (в Каунасской медицинской академии) нам не просто рассказывали об этом типе имплантатов, но и учили, как их моделировать, изготавливать и применять. Тогда все это казалось архи сложным и жутко травматичным.
Вот, как выглядела последовательность действий в то время:
Понятно, что в данной методике целая куча узких мест начиная от получения качественного оттиска с кости и заканчивая усадками и искажениями при литье (разумеется из КХС).
Начав заниматься этим видом имплантатов в начале 90-х годов прошлого века мы столкнулись с большим количеством диагностических и технических проблем (про компьютерную томографию и компьютерное моделирование в стоматологии в те годы говорить бессмысленно- их просто не было), которые охладили оставили наши надежды на долгие годы.
Несколько раз за эти годы встречались пациенты с такими имплантатами (именно по описанной выше методике), Некоторые из этих имплантатов пришлось удалять (в основном из-за значительного прорезывания части имплантата через слизистую оболочку и, как следствие развитие хронического воспалительного процесса). Интересно было то, что все имплантаты, которые были удалены служили пациентам 12-15 и более лет!
А как же решалась проблема дефицита костной ткани все эти годы? Вы и сами это прекрасно знаете! Недостаток кости стали восполнять всевозможными костными материалами животного или трупного происхождения. Но столкнувшись с проблемами перестройки и замещения этих материалов в нашем организме начали больше использовать пересадку аутокости. И опять столкнулись с проблемой дополнительных травм, парестезий и потерей костного объема пересаженных аутокостных фрагментов.
Причем, чем больше мы занимались костнопластическими операциями с применением ауто- и алло- материалов, тем больше нам хотелось реанимировать метод субпериостальной имплантации!
К тому же, провисев в Интернете несколько месяцев и перечитав груду зарубежной информации на тему субпериостальной имплантации, убедились, что этим путем идут уже многие и получают хорошие клинические данные и высокую удовлетворенность пациентов этим видом лечения.
Но анализируя методики проведения этих операций за рубежом, и главное - подход к проектированию самого имплантата, я имевший к этому времени уже большой багаж знаний и практического опыта, видели, что к некоторым этапам у нас другой взгляд и просто копировать их глупо и не перспективно.
А жизнь шла своим чередом и цифровые технологии развивались стремительными темпами. Так же быстро совершенствовалась техническая часть стоматологического оборудования. Наличие в клинике компьютерного томографа, лазерного 3D сканера, 3D принтера и современных программ для имплантологии стало обычным делом.
И вот приблизительно год-два назад у нас сложились окончательное понимание, как это сделать на современном уровне. А с появлением в 2016 году доступных технологий и оборудования по 3D печати из титана позволило от размышлений перейти к фантомным работам по теме субпериостальной имплантации.
Схема проектирования субпериостального имплантата (к которой я пришел в 2016 году) выглядила следующим образом:
Если все проектирование прошло идеально, то сама операция будет выглядеть следующим образом:
Для примера приводим одну из первых, фантомных работ. Этот имплантат никому не устанавливался и даже печатался на 3D принтере не из титана, а из стали, но подобные работы позволили выявить несколько скрытых проблем и избежать их при реальном, клиническом применении.
Одна операция, кость фактически не затрагивается и полностью исключено повреждение магистральных, сосудисто-нервных стволов. Ну, и разумеется самый главный аргумент - большая предсказуемость по сравнению с костной пластикой!
Проведя подобным образом серию фантомных работ и убедившись, что все проблемные места учтены, такой вариант лечения был предложен нескольким пациентам, которые не могли пользоваться съемными протезами, а костная реконструкция и внутрикостные имплантаты были отвергнуты по целому ряду причин.
Мои убеждения в успехе этих операций основывались на следующих факторах:
Подробное описание операции проведенной 4 апреля 2017 года
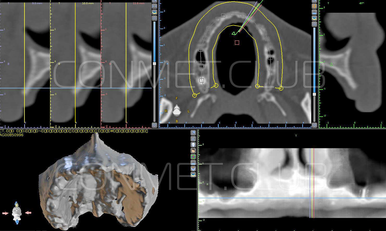
1. Пациенту было произведено МСКТ исследование нижней челюсти, с последующим созданием STL модели. В зуботехнической лаборатории был изготовлен восковой шаблон с искусственными зубами с учетом индивидуальных прикусных взаимоотношений (пока это делает зубной техник точно так же, как при изготовлении съемного пластиночного протеза).
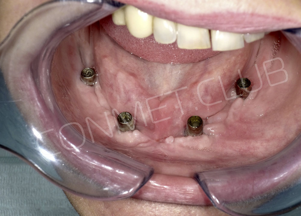
2. После этого произвели компьютерное моделирование самого имплантата и фиксирующих элементов. Примечательно, что в абатментах, использовался отлично зарекомендовавший себя и проверенный десятилетиями интерфейс КОНМЕТ! В результате получили несколько специальных файлов, позволяющих не только сделать сам имлантат, но еще до операции изготовить и сами зубы. Данные файлы передали в изготовление на специальном 3D оборудовании.
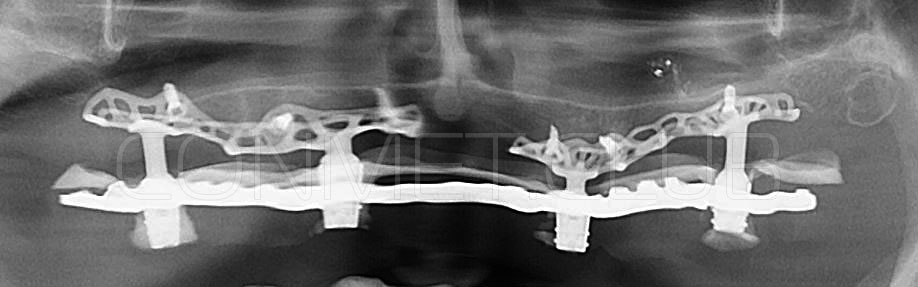
Имплантат напечатали из особого, биосовместимого, медицинского титана на предприятии имеющим соответствующую медицинскую лицензию. Толщина имплантата составила 0,8 мм, а вес всего несколько грамм!
Так, как субпериостальный имплантат является абсолютно индивидуальной конструкцией, то его моделировка, изготовление и последующая обработка и стерилизация могут занимать 2-4 недели! Правда не стоит забывать, что и сами зубы делаются в это же время!
Сама же операция длиться 20-50 минут в зависимости от количества утраченных зубов. В процессе этой операции, после проведенной местной анестезии, делается разрез на слизистой, она приподнимается и субпериостальный имплантат укладывается на кость. После этого рана фиксируется несколькими швами и все! Через 10-14 дней мягкие ткани срастаются и надкостница надежно удерживает имплантат на месте. Нет необходимости ждать несколько месяцев, как это бывает в случае с внутрикостными винтовыми имплантатами.
Новые, искусственные зубы фиксируются к этому имплантату стандартными, трансокклюзионными винтами на 1-14 день (в данном клиническом случае на 5 сутки) и по существу являются несъемными!
Казалось бы все просто. Да, но для реализации всей врачебно-технологической цепочки по моделированию и изготовлению подобного поднадкостничного имплантата, необходимо время и очень высокий уровень специалистов. И разумеется оборудования состоящего из 3D сканеров, принтеров, компьютерных томографов, программного обеспечения и т.д., которое есть далеко не во всех, даже современных стоматологических клиниках.
И поэтому, как любое индивидуальное изделие (можно сказать, что это произведение медицинского искусства) такой имплантат, изделие не из дешевых!
В заключении хотелось бы сказать:
В первой части статьи мы написали про свой персональный опыт с субпериостальными имплантатами и кратко текущее состояние дел по данной теме. Многочисленные вопросы от коллег и пациентов подтолкнули нас сделать некоторые добавления и пояснения по этой тематике.
Во-первых: хочется еще раз подчеркнуть, что субпериостальный имплантат изделие сугубо индивидуальное требующее, при его подготовке большого количества времени и ресурсов. Причем не только финансовых, но что более важно, требуются высокопрофессиональные знания и опыт в стоматологической имплантологии, одонтопротезировании и технологиях связанных с обработкой титана. Соответственно, речь идет о работе целой группы специалистов разного профиля.
Для примера скажем, что подготовка к операции, которая будет частично показана в этой статье ниже, заняла почти 6 недель!
Во-вторых: действительно, субпериостальная операция менее травматична и более предсказуема по сравнению с операциями костной пластики при тождественных объемах оперативного вмешательства. Но это не значит, что субпериостальная имплантация является альтернативой костной пластики! Ни в коем случае!
Это обособленный вид хирургической помощи в ситуациях, когда проведение костной пластики не возможно по целому ряду причин. Если говорить упрощенно, то это последний шанс пациента на несъемные зубы.
В-третьих: современная субпериостальная имплантиация, хоть и сохранила основные черты своих предшественников, существенно изменилась в связи с применением цифровых технологий, начиная от цифрового КТ исследования, цифрового моделирования и заканчивая 3D печатью самого имплантата.
И это еще не все. Для того, чтобы имплантат оптимально взаимодействовал с костью на которую он опирается и надкостницей, которая покрывает его сверху, необходима особая структура поверхности имплантата. И тогда через некоторое время, имплантат стороной обращенной к кости прочно с ней срастается.
Одним из лучших вариантов такой поверхности является структура АНАТАЗ полученная путем атомарного осаждения двуоксида титана с особой кристаллической решеткой на поверхность имплантата (запатентована фирмой Конмет).
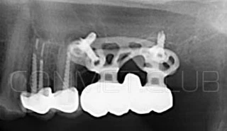
И в-четвертых: небольшой фрагмент из операции по восстановлению всех утраченных зубов на верхней челюсти. По сути эта операция полностью повторяет протокол и этапность операции представленной в первой части статьи, за исключением того, что искусственные зубы были зафиксированы сразу после операции. Со слов самой пациентки, процесс жевания был совершенно безболезненным с самого первого дня.
По понятным причинам сразу набирать объемы данных операций не стали. Надо было проанализировать результаты и определиться, что может тормозить дальнейшее развитие технологии и более широкое применение данной технологии.
Первый вывод к которому мы пришли, это то, что для данных конструкций имплантатов сохранять внутренний интерфейс с шестигранником и конусом Морзе нецелесообразно из-за ограничения возможностей современной 3D печати титана. Кроме того, техническая обработка после 3D печати такого интерфейса представляет значительные трудности и ведет к неоправданному увеличению цены. Поэтому пришли к единодушному мнению, что лучший вариант-это опорные элементы полностью повторяющие абатменты-мультиюниты.
Второй, и наверное главный вывод-решение - моделированием и конструированием индивидуальных, субпериостальных имплантатов должен заниматься инженер-конструктор с большим опытом в медицине и знаниями индивидуальной анатомии челюстно-лицевой области на уровне хорошего хирурга. При этом все-равно должно осуществляться тесное и постоянное взаимодействие с хирургом, который будет проводить операцию.
Посмотрите на приведенные выше работы и вы обратите внимание, что перфорации в теле имплантатов подчиняются скорее "художественным" принципам нежели биомеханическим. Поэтому уже в 2018 году не только изготовление, но и конструирование имплантатов было целиком передано сотрудникам Конмет. Это в значительной степени повысило качество самих имплантатов, но по вполне понятным причинам (таких грамотных инженеров-конструкторов по определению не может быть много) резко удлинились сроки изготовления. При определенных случаях, когда после удаления зубов кость еще не окончательно закончила ремоделировку, срок с момента КТ по которому моделируют субпериостальный имплантат, до операции может носить критический характер. Т.е., чем дольше время изготовления, тем больше вероятность того, что имплантат не полностью будет соответствовать рельефу подлежащей костной ткани.
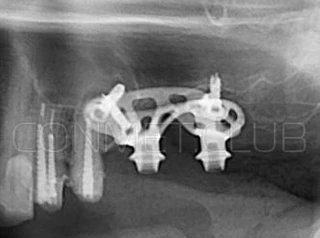
Посмотрите на небольшом клиническом примере новый подход к конструированию имплантата по сравнению с имплантатами описанными в начале этой статьи.

Для просмотра проведите курсором мыши по изображению имплантата

Результаты проведенных в 2017-2018 году операций субпериостальной имплантации показали их высокую эффективность, очень быструю адаптацию пациентов к новым зубам и отсутствие послеоперационного болевого синдрома. Интересной особенностью является труднодиагносцируемая, но точно присутствующая микроподвижность имплантатов спустя 6-12 месяцев. Учитывая данную особенность надо категорически избегать объединения субпериостальных имплантатов с естественными зубами или внутрикостными имплантатами!
Анализируя первые результаты, хочется отметить, что для более массового производства подобных имплантатов, а следовательно большего объема помощи пациентам требуется некоторое переосмысление и создание нового, унифицированного, учитывающего современную спицифику 3D печати имплантатов из титана, интерфейса между имплантатом и протетической конструкцией.
Небольшие результаты и выводы на 1 октября 2019 года.
Клинические работы с субпериостальными имплантатами производства Конмет, проведенные в 2019 году, позволили унифицировать интерфейс данных имплантатов под современный цифровой протокол. Более того, необходимые конструкционные элементы были введены в официальную базу под программу Exocad. Что позволило сократить время изготовления зубного протеза до 1-3 дней!
Таким образом на сегодняшний день в данной технологии аналоговым остается один единственный этап - создание первичного воскового базиса с искусственными зубами.