CAD/CAM , зубопротезирование
Клинический случай установкиимплантата по цифровому протоколу Конмет.

Долгое время при использовании имплантатов Конмет, современные цифровые методы использовались только на хирургическом этапе и только при проектировании направляющего хирургического шаблона. Сегодня в арсенале пользователей Конмет есть все необходимое (программные решения, цифровые библиотеки  и  титановые компоненты), для современного, высокоточного планирования, изготовления направляющего хирургического шаблона с титановыми втулками и последующего цифрового протезирования.

все фото в статье можно увеличить если на них кликнуть

Чтобы нагляднее представить себе все основные этапы цифрового протокола Конмет, предлагаем ознакомиться с очень распространенным случаем - восполнением одного зуба.

В программе BlueSky Plan были сопоставлены данные КЛКТ и внутриротового сканирования, и проведено планирование операции дентальной имплантации с последующим созданием хирургического направляющего шаблона. Совмещение изображений КТ и внутриротового скананирования позволяет достичь максимальной точности планирования и нивелировать цифровые шумы неизбежно возникающие при КТ исследовании.
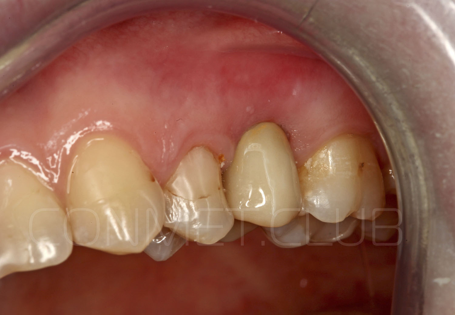
Вид в полости рта пациента перед операцией. С момента удаления зуба 25 прошло 4 месяца. Планируется проведение операции без откидывания слизисто-надкостничного лоскута.
Обязательным условием работы с направляющими шаблонами является проверка точности посадки позиционирующего шаблона на апроксимальные зубы. Посадка не должна быть чрезмерно плотной и шаблон должен располагаться на зубах без баланса.
Препарирование ложа производится через слизистую оболочку, без отслаивания лоскутов, в таком случае контроль глубины препарирования следует проводить с учётом толщины слизистой оболочки и высоты направляющей втулки.
Направляющие втулки нового типа имеют цветовую маркировку (с диаметром отверстия 2,2 мм - серебристого цвета и 2,8 мм - золотистого цвета), а также одинаковый внешний диаметр, что позволяет использовать 2 одинаковых шаблона, но с втулками разного диаметра.
Характерной особенностью новых втулок является их фиксация в шаблон без использования клеев или адгезивов. Это значительно упрощает работу при фиксации втулок в шаблон и абсолютно исключает попадание фиксирующего клея внутрь втулок.
Имплантат устанавливается в подготовленное ложе. Так как не производится широкого откидывания слизисто надкостничных лоскутов и операция проводится через маленькое перфорационное отверстие, кровоточивость и сама операционная травма - минимальные.
После установки имплантата Конмет,  на период интеграции (6-8 недель), фиксируется винт заглушка. В подобных случаях швы никогда не накладываются, а пефорационное отверстие в слизистой оболочке закрывается дентальным Солкосерилом.
Через 8 недель проводится внутриротовое сканирование. Зафиксирован сканмаркер, который позволяет перенести данные сканирования в виде STL файла в программу ExoCad, осуществить моделирование индивидуального абатмента и выточить его на фрезерном станке.
Для уменьшения артефактов возникающих при сканировании и максимально точного сопоставления в программе ExoCad рекомендуем использовать оригинальные сканмаркеры фирмы Конмет.
Процесс моделирования в программе Exocad. Если кликнуть на снимок, то видно, что в программе присутствуют все компоненты Конмет, включая премиллы последнего поколения.
Индивидуальный абатмент полностью смоделированный в программе Exocad. Официальную библиотеку можно скачачать на сайте Exocad.com или обратиться на Конмет.
Смоделированный в программе Exocad индивидуальный абатмент размещен в виртуальном холдере Cam программы MillBox. Отчетливо видно, что вся моделировка была произведена с учетом геометрии премилла Конмет.
Самый лучший и быстрый результат получается если использовать премиллы Конмет (на фото слева). Т.к. интерфейс имплантата (шестигранник и конус Морзе) не подвергаются изменениям при изготовлении абатмента. Номер по каталогу Конмет, Pre-mill 290.52
Готовый индивидуальный титановый абатмент. Если фрезерование абатмента производится из титанового премилла Конмет, то посадка в фабричный интерфейс имплантата просто идеальная и обеспечивает многолетнее функционирование конструкции без ослабления фиксирующего винта.
Коронка была изготовлена из стеклокерамики Vita Suprinity на станке Cerec MC X. Выбор материала коронки был обусловлен не только эстетическими но и высокими прочностными характеристиками. На фото вид коронки зафиксированной на имплантате Конмет. Этапы изготовления одиночной коронки с винтовой фиксацией по технологии CAD/CAM
И так, что нам нужно для современного цифрового протокола

1. Этап планирования

  • программа BlueSky Plan с интегрированной базой имплантатов Конмет. Можно скачать с Blueskybio.com
  • титановые втулки Конмет под фрезы диаметром 2,2 мм (номер в каталоге Конмет 208.25, далее по тексту будет обозначаться просто номером в скобках)  и 2,8 мм (208.26)
     

2. Операция

  • хирургический направляющий шаблон с втулками, проверенный на посадку до операции. Шаблон может быть изготовлен на фрезерном станке или на 3D принтере (что более предпочтительно).

3. Протезирование

  • головки для сканирования (Zirkonzahn (2,2 мм 212.90; 2,7 мм 212.91) 3Shape, Exocad (2,2 мм 212.97; 2,7 мм 212.98) производятся Конмет.
  • библиотеку CAD/CAM (Zirkonzahn, 3Shape, Exocad) на официальных сайтах производителей данных программ или по вашему запросу на Конмет.
  • титановые основания Конмет (2,2 мм 214.40-43; 2,7 мм 214.50-53) для вклеивания в циркониевые, гибридную керамику, литий силикатные, ПММА и другие материалы.
  • обрабатывающий фрезерный (шлифовальный) станок.
  • титановые премиллы (2,2 мм 290.50; 2,7 мм 290.51)
ВЫВОДЫ
Таким образом на сегодняшний день существуют все возможности для повышения точности и качества имплантологического лечения при общем сокращении времени лечения (особенно на этапе протезирования) и количества посещений пациентом клиники.

Все статьи на сайте Zhusev.ru

Все видео на сайте Zhusev.ru
Zhusev.ru
©
 2015—2026